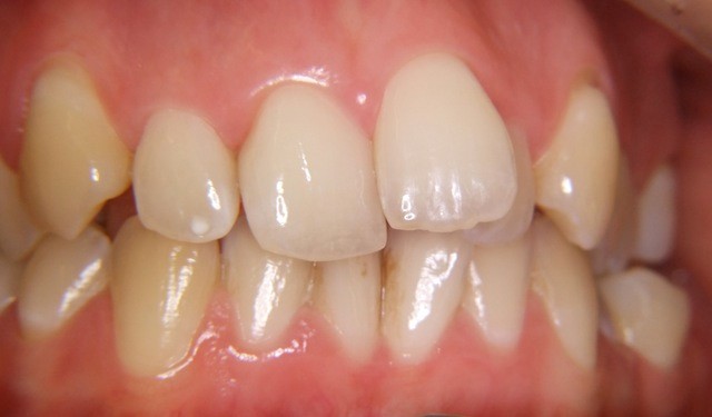
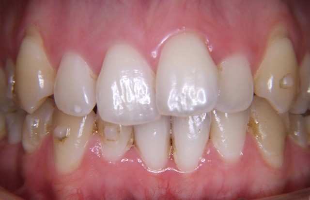
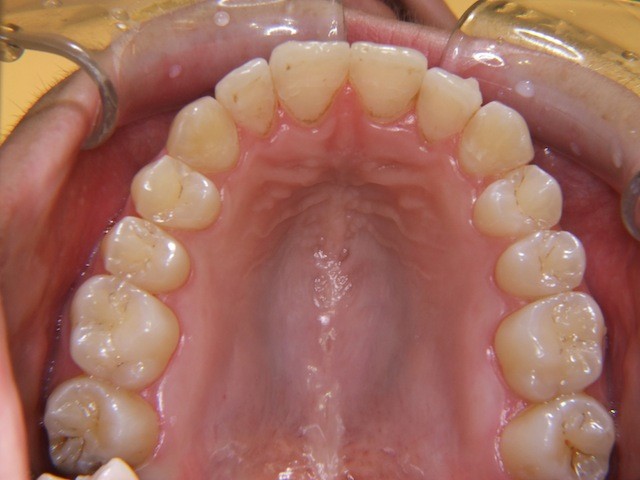
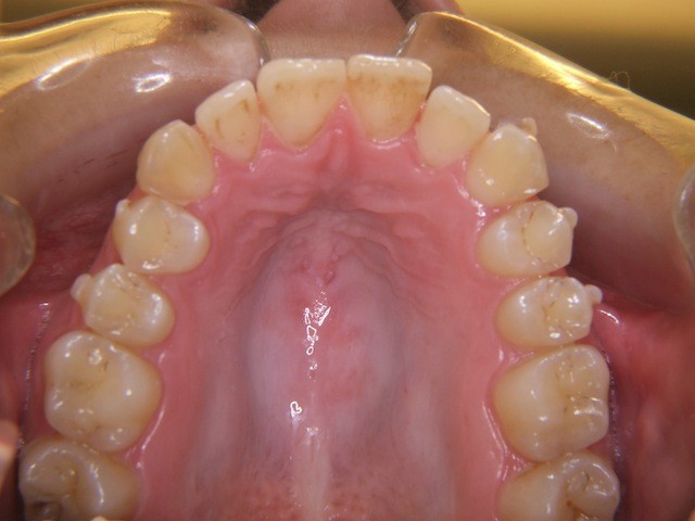
Beispiel einer Engstandsbehandlung bei einem Erwachsenen mit Invisalign

Vorher ----------------------------------- Nachher

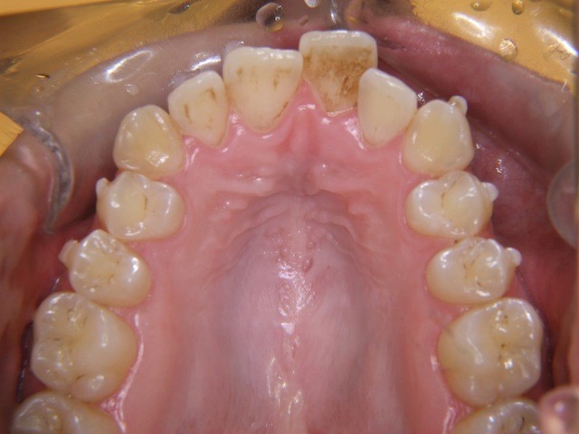
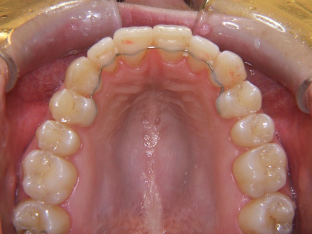
Bilderserie Invisalignbehandlung Oberkiefer mit Stabilisierungsdraht am Schluss. Man beachte die Ansammlung von Belägen und Verfärbungen infolge Nischenbildung am Zahn der am meisten im Engstand steht.

 

 

 

 

Eine unserer Bewertungen

Schweizer Zahnarztvergleich: Certificate of Excellence 2015, 2016, 2017, 2018, 2019, 2020, 2021, 2022,2023,2024, 2025

Dr. med. dent. Philipp Kümin als Einzelunternehmer (im Gegensatz zur AG mit fraglicher Haftung) steht ein für Qualität.

Er und sein hervorragend ausgebildetes Team garantieren beste Behandlungsergebnisse in kürzestmöglicher Behandlungszeit.